This poster was presented during the annual FSU Day at the Capitol. This is a day where Florida State University showcases information and some of its research to the general public. It was held at the State Capital Building in Tallahassee, Florida on April 6, 1999.

 
     
 
CREATING MAPS OF THE HUMAN BRAIN
 
     
 
 
Research in the Department of Mathematics, Florida State University
 
 
 
Dr. Monica K. Hurdal, Dr. De Witt L. Sumners, Dr. Philip L. Bowers
 
 
 
Email: mhurdal@math.fsu.edu          WWW: http://www.math.fsu.edu/~mhurdal
 
 
 
  Introduction
  • the human brain is a highly convoluted surface
  • considerable anatomical variablility between individuals
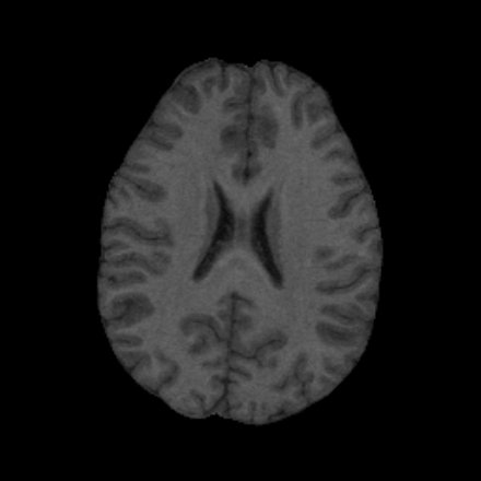
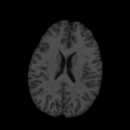
  • use magnetic resonance (MR) images to display anatomical information (see Figure 1)
  • new methods are required to view and analyze brain data to provide:
    • improved approaches for understanding functional and anatomical brain information
    • alternate ways of visualizing and comparing individual differences in cortical organization between subjects
MR Scan from One Subject MR Scan from a Second Subject
Figure 1: MR image scans from two different subjects illustrate the variability in anatomical structure between individuals.
 
 
 
  Our Approach
  • use mathematical theory to create a flat map of the brain
  • it is impossible to flatten a curved surface in 3D space without linear and areal distortion
  • the Riemann Mapping Theorem (1850's) says it is possible to preserve conformal (angular) information
  • our approach attempts to preserve the conformal structure between the original cortical surface and the flattened surface
 
 
 
 
Flattening the Human Cerebellum
 
 
 
 
Color Coded Cerebellum in Sagittal MRI Slice

Figure 2: The human cerebellum is colored according to the following cortical regions: forest green = lobulus seminlunaris, lobulus semilunaris inferior, lobulus biventer; red = tonsils, flocculus; yellow = lingula, lobulus centralis, lobulus quadrangularis; blue = lobulus simplex, lobulus semilunaris superior; grey = white matter; bright green = fissura prima; cyan = fissure secunda; magenta = fissura horizontalis; purple = boundary used for flat maps.
 
 
 
 
Front View of Color Coded Rendered Cerebellum Back View of Color Coded Rendered Cerebellum

Figure 3: The surface representing the cerebellum is exctracted from the MR images and rendered to show a view from the front and back.
 
 
 
 
Euclidean Flat Map with Anatomical Regions

Figure 4: Flattened map of the cerebellum (in the Euclidean plane). Colors correspnds to regions shown in in Figure 2.
 
 
 
 
Hyperbolic Flat
Map with Anatomical Regions
Hyperbolic Flat Map with
Alternate Focus

Figure 5: Cerebellum mapped to a disk (in the hyperbolic plane). The origin (map focus) is marked in black in the center of the maps.
 
 
 
 
Spherical Map with 
Anatomical Regions Rotated View of 
Spherical Flat Map with Anatomical Regions

Figure 6: Cerebellum mapped to a sphere. Two different views are shown.
 
 
 
  Advantages and Benefits
  • conformal mappings are canonical and hence mathematically unique
  • easy to impose a coordinate system, which allows comparison of different maps
  • easy to transform and change locations of map distortion
  • clinical tool for analyzing anatomical and functional differences
 
 
 
  For more information, please contact:
Dr. Monica K. Hurdal, Department of Mathematics, Florida State University, 32306-4510
Phone: (850) 644-7378; Email: mhurdal@math.fsu.edu

This work has been carried out in collaboration with Dr. Ken Stephenson, University of Tennessee, Knoxville and the International Neuroimaging Consortium (see http://pet.med.va.gov:8080/hbp.html). This work has been supported in part by NIH grant MH57180.
 
 


Updated July 1999.
Copyright 1999 by Monica K. Hurdal . All rights reserved.