
,
David Rottenberg
,
Kirt Schaper
,
Josh Stern
,
Monica Hurdal
,
De Witt Sumners
Department of Radiology, University of Minnesota, Minneapolis, U.S.A.
Department of Neurology, University of Minnesota, Minneapolis, U.S.A.
PET Imaging Center, Minneapolis VA Medical Center, U.S.A.
Department of Mathematics, Florida State University, Tallahassee, U.S.A.
Subject: Methods - acquisition
Keywords: MRI
Auxilliary: Adult (19 to 44 years)
A coordinate system encompassing the cerebellum is necessary for comparing
structure and function across subjects. The widely-used Talairach system is
often extended to the cerebellum, but this can result in poor structural
registration. We propose a cerebellar coordinate system that is based on
readily-identifiable landmarks in the brainstem and cerebellum, shares a
reference point - the posterior commissure (PC) - with the Talairach coordinate
system, and is compatible with current anatomical atlases (1). We discuss a
strategy for isolating the cerebellum using this coordinate system - which is
a prerequisite for 2D surface mapping (2). Use of this cerebellar-based
coordinate system improved the localization of landmarks such as the lingula
and the bases of the horizontal and primary fissures as compared to an
extended-Talairach coordinate system.
Methods
Coordinate system
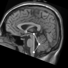
A line joining the PC and obex forms the basis for the proposed coordinate
system. The PC, obex and the apex of the fourth ventricle (V4) define the
cerebellar midplane. A transformed volume is created by rigid-body rotation
and translation (transform CB) that places the three principal
landmarks in the midplane and the PC-obex line in the same quasi-coronal plane
(Figure 1). A further one-dimensional rescaling (transform CBS)
standardizes the distance between the PC and obex. Cerebellar landmarks are
then located: the tip of the lingula, the bases of the primary and
horizontal fissures, and the maximal extent.
Isolation
Given a strip mask for the whole brain (3), we designed a strategy to isolate
the cerebellum in a consistent manner across subjects. The cerebrum is removed
by cutting the brainstem above the most rostral extent of the cerebellum
and defining the boundary of the occipital lobes. The brainstem and peduncles
are cut away on a slice-by-slice basis starting at the anterior surface and
ending adjacent to the lingula. For each successive coronal slice, only tissue
unobscured by cerebellar cortex is removed. This strategy results in angled
cuts of the cerebellar peduncles analogous to those produced by
dissection (1). At present, operator supervision is required for this
procedure.
Results
We identified anatomical landmarks in ten T1-weighted MRI volumes
(.86 x .86 x 1.0 mm voxels) acquired from a group of young normal subjects.
Each raw scan underwent three transformations: to both cerebellar coordinate
systems (CB and CBS) and to extended Talairach coordinates
(TAL). Localization of landmarks was evaluated by calculating the
distance (in millimeters) of each from its average location.
The mean ratio of the AC-PC and obex-PC distances in the unscaled CB volumes
was 0.50 (sigma 0.03). The cerebral and cerebellar midplanes were different
for all subjects - the angle between the planes varied from 0.7 to 8.1 degrees,
and included both a yaw and a roll component in 80% of the subjects.
Conclusions
Like the anterior and posterior commissures, the obex is a primitive structure
that can support a stable coordinate system. The mismatch of cerebral and
cerebellar midplanes, in addition to the variance in obex-PC distance
remaining after transformation to extended Talairach coordinates reinforces
our belief that cerebella require a distinct coordinate system. The
preliminary 1D rescaling strategy that was investigated had the desired effect
of improving the localization of cerebellar landmarks (latter four rows in
Table 1.). Though the PC and obex are removed by the cerebellar isolation
strategy, the remaining landmarks are retained and can be visualized in both
volume and surface representations of cerebellar structure and function.
References
1. Duvernoy H.M., The human brain stem and cerebellum. Springer-Verlag, Wein,
1995.
2. Hurdal M., Sumners D.L., Rehm K., Schaper K., Bowers P.L., Stephenson K.,
Rottenberg D.A. NeuroImage. 9(6)S194, 1999.
3. Rehm K., Shattuck D., Leahy R., Schaper K., Rottenberg D.A. NeuroImage. 9(6)
S86, 1999.
Acknowledgments
This work is support in part by NIH grants MH57180 and NS33718.
![]() | Figure 1: Cerebellar midplane. The AC, PC, V4 apex and obex are marked. |
| Landmark | TAL | CB | CBS |
|---|---|---|---|
| AC-PC Distance | 23.0 [0.0] | 27.2 [0.9] | 27.2 [0.9] |
| Obex-PC distance | 54.1 [2.4] | 54.4 [2.9] | 54.0 [0.0] |
| AC localization | na | 2.3 [1.1] | 2.3 [1.1] |
| Obex localization | 3.5 [2.3] | 2.5 [1.3] | na |
| V4 apex localization | 3.6 [1.9] | 3.3 [1.6] | 2.6 [1.9] |
| Lingula localization | 2.9 [1.4] | 2.6 [1.3] | 2.3 [1.3] |
| Primary fiss. localization | 3.2 [1.9] | 3.0 [1.9] | 2.5 [1.9] |
| Horizontal fiss. localization | 4.0 [2.0] | 3.4 [1.9] | 2.8 [2.0] |